La perfetta soluzione per l’imaging neuro neonatale
Embrace® è il primo sistema MRI neonatale dedicato approvato da FDA 510 (k) e CE, progettato specificamente per l’uso all’interno dell’unità di terapia intensiva neonatale. I neonati possono essere scansionati in qualsiasi momento, entro pochi minuti dalla richiesta, per fornire informazioni critiche per una diagnosi e un trattamento più rapidi, riducendo i rischi spesso associati al trasporto fuori dall’unità di questi pazienti critici e preziosi.
il sistema Embrace a magneti permanenti e con gabbia di faraday ingrata sul magnete risulta estremamente conveniente e consente l’utilizzo di ventilatori e pompa di infusione standard. i magneti permanenti riducono in maniera drastica le operazioni e i costi manutentivi così come quelli relativi al consumo di energia elettrica.
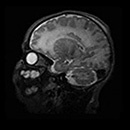
le dimensioni molto contenute del magnete ne consentono l’installazione direttamente all’interno della terapia intensiva neonatale ed il gantry di dimensioni ridotte, consentono anche con un campo di “solo” 1 Tesla, un rapporto segnale rumore estremamente alto; paragonabile alle RM da 3 tesla.
il sistema inoltre dispone di una telecamera ad altissima risoluzione che inquadra costantemente il neonato all’interno del magnete.
la gestione del paziente pre-termine o neonato all’interno della terapia intensiva neonatale consente l’esecuzione di indagini senza la necessità di dovere organizzare un trasporto direttamente all’interno della terapia intensiva neonatale.
il sistema Embrace fornisce:
> Un ambiente confortevole per il neonato, senza lasciare la terapia intensiva neonatale.
> Un flusso di lavoro semplificato ed efficiente per il personale di terapia intensiva neonatale e radiologia.
> Qualità, capacità di imaging point-of-care per risultati e diagnosi più rapidi.
FAQ – Domande e risposte comuni.
Scarica la brochure
